고등학생 김모(남·16)군은 지난해 8월 담관석에 의한 급성담관염 및 급성췌장염으로 한림대학교동탄성심병원에 전원됐다.
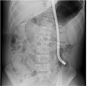
소화기내과 박세우 교수는 즉시 내시경적 역행성 담췌관조영술(ERCP)로 담관석을 제거했지만 이미 발생한 급성췌장염은 점점 더 진행됐다.
특히 췌장조직이 괴사하며 생긴 거대한 괴사주머니가 좌측 상복부에서 하복부 및 골반까지 확장되었고, 감염이 동반되어 김 군은 발열과 함께 심한 복통을 호소했다.
일반적인 괴사성 췌장염은 내시경적 괴사제거술로 치료할 수 있지만, 김 군의 경우 괴사 부위가 워낙 커서 경피적 배액술을 조합하거나 최소침습수술이 요구됐다.
하지만 괴사성 췌장염의 수술적 치료는 사망률과 합병증 발생률이 높아 환자와 보호자가 비수술적 치료를 간절히 원했고, 이에 박 교수는 내시경적 괴사제거술만으로 췌장의 괴사조직을 제거하기로 했다.
박 교수는 먼저 초음파내시경으로 위와 괴사주머니를 연결하는 통로를 만드는 내강밀착형 스텐트(lumen apposing metal stent)를 삽입했다. 이후 스텐트 내부를 통해 위내시경을 삽입해 췌장의 괴사조직을 직접 제거했다. 내시경적 괴사제거술은 평균 5회가량 시행되지만, 괴사 부위가 워낙 커서 17회의 괴사제거술 끝에 괴사조직을 완전히 제거할 수 있었다.
이후 두 달간의 치료를 성공적으로 마친 김 군은 처음 병원에 입원할 때보다 체중이 약 15kg이나 감소했지만 건강한 모습으로 퇴원해 학교생활을 하고 있다.
박 교수는 “경피적 배액술 및 최소침습수술의 도움 없이 총 17회의 내시경적 괴사제거술만으로 골반강까지 확장된 괴사조직을 치료한 국내 첫 사례”라며 “또한 골반강까지 길고 좁게 형성된 괴사주머니 내부를 풍선으로 확장하면서 괴사제거술을 진행한 경우는 전세계적으로도 드물게 보고되고 있으며 천공의 위험성도 매우 높은 고난도 시술에 속한다”고 설명했다.
급성췌장염에서 감염이 동반된 괴사성 췌장염을 비수술적으로 치료하는 내시경적 괴사제거술이 주목받고 있다.
급성췌장염은 췌장선 세포가 손상되며 참을 수 없는 극심한 복통이 갑작스럽게 나타나는 질환이다. 원인은 60~80%가 담석에 의해 발생하며, 이외에도 음주, 대사장애, 약물, 복부손상 등으로 다양하다. 급성췌장염 중 35%는 감염이 동반되며 이 경우 패혈증과 다발성 장기부전이 발생해 사망률이 30%까지 높아진다.
감염은 급성췌장염 발병 후 2~4주 사이에 가장 흔하게 발생하는데 감염성 괴사가 발생하는 경우 즉시 항생제를 투여하고 괴사조직을 제거해야 한다. 기존에는 주로 수술적 치료를 했지만 사망률이 높고 입원기간이 길며, 수술부위 감염, 탈장, 출혈, 장누공 등의 합병증이 발생할 수 있어 최근에는 비수술적 치료법이 선호되고 있다.
이 중 내시경적 괴사제거술은 초음파내시경으로 위와 괴사주머니를 연결하는 스텐트를 삽입해 통로를 만든 뒤 위내시경 또는 대장내시경 등으로 괴사조직을 직접 제거하는 방법이다.
수술적 치료와 비교해 덜 침습적이고 다기관 연구에서도 치료성공률이 86%에 이르는 것으로 나타나, 안전하고 효과적인 치료법으로 주목받고 있다.
특히 박세우(사진) 교수는 이 분야의 선두주자로 현재까지 국내에서 가장 많은 83건의 초음파내시경 유도하 괴사배액술을 시행했으며, 100%의 성공률을 보유하고 있다.
특히 성공률이 낮아 수술적 치료가 권고되는 골반까지 확장된 괴사주머니를 내시경적으로 제거해 이를 국제학술지에 보고하는 등 내시경 중재술의 적응증을 넓히고 있다.
박세우 교수는 “사망까지 이를 수 있는 괴사성 췌장염 환자의 경우 사망률과 합병증 위험이 높은 수술적 치료에 대한 걱정이 컸지만 내시경적 괴사제거술이 이들에게 희망이 되고 있다”며 “내시경 중재술의 발전에 힘써 더욱 많은 환자들을 안전하게 치료할 수 있도록 최선을 다하겠다”고 말했다.
