고대안암, 사랑을 할 나이가 되었다는 증거? 사랑니

이재성 기자
| 입력:

서울에 거주중인 직장인 이 모씨(20대), 어느 날부터 어금니 안쪽 부분이 아프기 시작했다. 사랑니가 난 것은 몇 년 전부터 알고 있었으나, 이런 통증을 느껴본 적은 처음이었다. 이상하다 싶어 거울을 통해 통증 부위를 보니, 사랑니 일부분이 충치로인해 썩어있는 것을 발견했다. 이 모씨는 며칠 동안 치통에 시달리다 치과를 방문해 사랑니를 발치했다.

 

흔히 ‘사랑니’라 불리는 치아는 영구치중 가장 안쪽에 있는 제3대 구치를 말하며, 치아 중 가장 늦게 나오는 치아이다. 보통 17세~25세 무렵에 맹출하는데, 이 시기는 이성에 대한 호기심이 많을 때며 특히, 새로 어금니가 날 때 마치 첫사랑을 앓듯이 아프다고 하여 "사랑니"라는 명칭이 붙게 되었다.

 

모두 맹출 되었을 때는 좌, 우 위아래를 합쳐 4개가 존재한다. 선천적으로 사랑니가 없는 경우가 있으나, 대부분 잇몸 속에 가려져있어 인지하고 있지 못하는 경우가 많다. 사랑니는 정상적으로 맹출하여 청결하게 유지 관리가 되면 아무 문제가 없는 경우도 있지만, 치열의 맨 안쪽 끝에서 공간이 부족한 상태로 맹출하는 경우가 많기 때문에 관리에 어려움이 많아 다양한 질환을 일으킬 수 있다.

 

원래의 기능은 다른 어금니와 마찬가지로 음식을 씹어 소화하기 좋은 형태로 만드는 것이나, 현대에 이르러서는 정상적인 위치가 아니라 기형적으로 맹출하는 경우가 많기에 정상적인 기능을 하는 경우는 소수이다. 치아 전부가 매몰된 채로 있는 매복지치, 비스듬하게 또는 수평방향으로 나는 수평지치, 불완전하게 나는 반매복지치 등이 있다.

 

사람마다 다르지만 사랑니 중 특히 아랫니는 누워서 맹출하거나, 일부분만 노출된 상태로 맹출하는 경우가 많은데, 이 경우에는 관리를 하기에 어려움이 많아 발치를 권하기도 한다. 딱히 염증이나 통증 같은 문제가 없는 경우 진단에 따라 그냥 두는 경우도 있다. 사랑니를 발치하지 않고 그냥 두는 경우, 제대로 양치가 되지 않아 생기는 충치로 인해 인접 어금니로 충치를 옮기거나, 치아가 자라면서 다른 치아들을 압박해 치열에 문제가 생기기도 한다. 이런 경우에는 발치를 권한다.

 

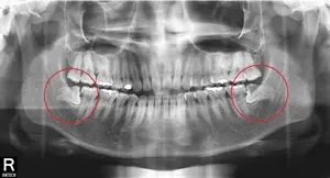
발치 과정은 환자에 따라 다르지만, 일반적으로 ‘파노라마’로 불리는 방사선촬영을 통해 사랑니의 상태를 파악하고 전문의의 판단 하에 발치를 진행하게 된다. 정상적으로 맹출한 경우에는 발치 과정이 비교적 간단하지만, 누워서 자라거나 잇몸 속에 매복되어있는 경우 발치 과정이 복잡해진다. 이런 경우 잇몸을 절개 한 후 사랑니 주변 뼈를 조금 갈아내고 치아를 조각내서 뽑아낸다. 사랑니가 턱뼈 속 하치조신경에 닿아 있거나, 통과하는 경우에는 발치의 난이도가 급격하게 상승하는데, 이 때 에는 구강악안면외과 전문병원이나 대학병원 같은 큰 병원을 방문하는 것이 좋다.

 

발치 후의 통증은 사랑니의 위치와 맹출한 형태, 사랑니의 크기, 신경과의 관계 등 복합적인 요인에 따라 다르며, 수술 시간은 비교적 빠른 경우는 5~20분 정도에 끝나지만 어려운 경우는 1시간 이상 걸리기도 한다. 치료 중에는 딱딱하고 자극적인 음식은 염증이 생기거나 ‘드라이소켓’현상이 생길수도 있으므로 피하는 것을 권한다. 부드럽고 차가운 음식을 먹는 것이 좋으며, 빨대를 사용할 때 구강내 압력으로 인해 출혈이 멈추지 않을 수 있으므로 발치 후 며칠간은 빨대를 사용하지 않는 것을 권유한다.

 

고려대학교 안암병원 구강악안면외과 전상호 교수(사진)는 “사랑니가 났을 때 꼭 뽑을 필요는 없지만, 문제가 생긴 경우에는 발치하는 것을 권유한다”며 “발치과정은 사랑니의 상태에 따라 다르므로 필요한 경우 3D CT을 촬영하여 사랑니 부근의 신경과 상악동 및 인접 중요 구조물의 근접성 정도를 정확하게 계산하고 안전한 발치를 행해야 한다” 고 말했다.   

최신뉴스
×