힘찬병원이 석회성 건염에 대해 하룻밤 사이 생기는 질환이 아니라며 주의를 당부했다.
특별한 증상이 없다가 갑작스런 어깨 통증이 생기면 석회성 건염(석회성 힘줄염)을 의심할 수 있다. 석회성 건염은 어깨 힘줄에 돌 같은 석회질이 침착되어 생기는데, 건강보험심사평가원 통계에 따르면 2015년 11만 2천여 명이었던 환자가 2018년 14만 7천여 명으로 31.4% 증가했다.
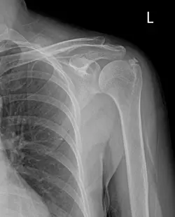
석회성 건염은 어느 순간 이유도 없이 통증이 와서 어깨를 잘 움직이지 못하는 게 특징이며 비교적 진단이 쉬운 질환이다. X-ray 검사로 석회가 낀 것을 확인할 수 있는데, 방사선 비투과성 병변 부위가 하얗게 1~2mm부터 3cm까지 다양한 크기로 발견된다.
어깨에 석회가 생긴다고 처음부터 아픈 것은 아니다. 아무런 증상이 없어 방사선 검사를 하다 우연히 발견하는 경우도 상당히 많다. 반면 통증이 심한 경우는 밤에 잠을 자지 못해 응급실에 내원하는 경우도 있고, 몇 개월이 지나도 계속 통증을 호소하는 경우도 많다.
30~40대 연령에서는 주로 급성으로 나타나는데 통증이 심하고, 50~60대에서는 통증이 꾸준히 지속되어 오십견과 혼동하는 사례가 많다. 급성으로 진행된 경우 참기 힘들 정도로 통증이 오고 쉽게 낫지도 않아 고통 속에 병원을 찾는 경우가 많다. 만성으로 나타나는 경우에는 석회화 부분이 주위 조직을 압박하므로 결리거나 묵직한 통증이 나타난다.
석회성 건염은 보존적인 방법으로 대부분 증세를 완화시킬 수 있어 치료가 쉬운 편에 속한다. 석회의 크기가 작을 경우 증상이 없다면 자연 치유를 기대하고, 아픈 부위는 주사를 놓아 염증을 가라앉히면 쉽게 통증이 완화된다.
필요에 따라 약물치료, 물리치료, 체외충격파 치료를 병행한다. 체외충격파 치료는 석회를 자극시켜 체내에 흡수되도록 하는 치료로 수술 없이 석회를 제거할 수 있다.
다만 석회의 크기가 크고 충돌 증상을 일으키는 경우 관절내시경을 이용해 직접 석회를 제거하는 수술을 하는 것이 좋다. 석화를 없애고 나면, 해당 부위에 재발하는 경우는 드물다. 하지만 석회가 발생한 사람은 다른 부위에 다발적으로 나타나는 경우가 흔해, 재발하는 것으로 오해하기도 한다.
목동힘찬병원 유순용 원장은 “석회가 자연 흡수되는 경우가 있는데, 다 사라지지 않은 상태로 멈춰 자연 치유된 것으로 오해하는 경우가 있다”며 “남아 있는 석회의 침착이 다시 진행되면 또다시 통증이 나타날 수 있으니 통증이 없더라도 3~6개월 간격을 두고 단순 방사선 검사를 진행하여 석회가 완전히 사라졌는지 확인하는 것이 안전하다”고 말했다.
