로그인
회원 가입
마이페이지
로그아웃
전체기사보기
최근 검색어
전체삭제
최근 검색어가 없습니다.
전체기사
보건정책
보건정책
병원/의료
병원
의료
제약/유통
제약
유통
바이오
바이오
약사/건식
약사
건식
의료기/IT
의료기
IT
한방병원/한의원
한방병원
한의원
재생의료 R&D
건강정보
건강 정보
건강 칼럼
뷰티정보
뷰티 정보
뷰티 칼럼
의료관광
국내
해외
학술논문
논문
기고
스페셜
인물포커스
국내신약정보
자료실
공개논문의학
전문서적약학
한의학/통합의학
한의학
통합의학
해외뉴스
해외뉴스
의료봉사·선교
의료봉사
의료선교
미디어 총괄사업부
엔터테인먼트 기획(국내/해외)
기업 행사/기획 연출
"췌장" 검색 결과
전체
분당차병원 암센터 전홍재ㆍ권창일 교수, 췌장암과 담도암 치료 이해 출간
차 의과학대학교 분당차병원 암센터 전홍재 ㆍ권창일 교수(사진 왼쪽부터)가 다년간의 다학제 진료 경험을 바탕으로 췌장암과 담도암 환자와 가족들을 위한 ‘다학제 진료를 통한 췌장암과 담도암 치료의 이해’ 를 출간했다.
2023. 07. 17. 24:00
난치암 췌장암, 압타머 기반 신치료 개발
▲왼쪽부터 김윤희 교수·국민대학교 허균 교수·허난대학교 최선일 교수 국립암센터 연구진이 표준치료의 효과가 현저히 낮고 표적치료제가 부재한 난치암인 췌장암을 대상으로 암세포에 결합해 약물을 세포 내로 전달하는 압타머...
2023. 04. 25. 24:00
괴사성 췌장염, 내시경적 괴사제거술 치료
고등학생 김모(남·16)군은 지난해 8월 담관석에 의한 급성담관염 및 급성췌장염으로 한림대학교동탄성심병원에 전원됐다. 소화기내과 박세우 교수는 즉시 내시경적 역행성 담췌관조영술 로 담관석을 제거했지만 이미 발생한...
2023. 02. 03. 24:00
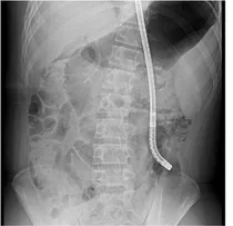
풍선소장내시경 이용, ‘췌장담도시술’ 시행
▲국내 처음으로 풍선소장내시경을 이용해 췌장담도시술 150례 돌파 기년사진 아주대병원 소화기내과 ·양민재 교수팀이 국내 처음으로 풍선소장내시경을 이용한 고난이도의 췌장담도치료내시경시술 150례를 돌파했다.
2023. 01. 16. 24:00
한림대학교강남성심병원,췌장암의 날 건강강좌 온·오프 개최
한림대학교강남성심병원 은 11월 21 오전 10시부터 12시까지 본관3동 4층 미카엘홀에서 ‘췌장암의 날 건강강좌’를 개최한다. 아울러 줌 을 통해 온라인으로 참가할 수 있다.
2022. 11. 17. 24:00
대한종양내과학회, 세계췌장암의 날 췌장암 췌인지 캠페인 췌문췌답 진행
대한종양내과학회 가 11월 17일 세계 췌장암의 날을 맞아 췌장암 환우와 보호자에게 최신 치료 방법과 올바른 정보를 전달하기 위한 ‘2022 췌장암 췌인지 시즌3 -췌문췌답’ 캠페인을 진행한다.
2022. 11. 17. 24:00
강동경희대한방병원, 췌장암 환자 의·한 협진 치료 임상연구 진행
강동경희대학교한방병원 한방내과 윤성우 교수(사진)팀은 강동경희대학교의대병원 소화기내과 주광로 교수팀과 함께 진행성 혹은 전이성 췌장암(3기/4기 췌장암)을 진단받고 1차 항암치료를 시작하는 환자에게 건칠 위주의...
2022. 11. 11. 24:00
대사증후군과 췌장암 발생 위험 사이의 상관관계 규명
고려대안산병원 가정의학과 박주현 교수와 숭실대 정보통계보험수리학과 한경도 교수 연구팀은 820만 명의 성인을 대상으로 한 장기 추적 관찰을 통해 대사증후군의 변화와 췌장암 발생 위험 사이의 상관관계를 규명한 연구...
2022. 09. 30. 24:00
대전성모병원, 자각증상 없어 발견 늦어지는 췌장암 위험인자는?
췌장은 혈당을 조절하는 인슐린호르몬 등 여러 호르몬을 생성하는 췌장실질과 단백질, 지방을 분해하는 소화효소가 배출되는 췌관으로 이뤄져 있다. 췌장암은 대부분 췌관에서 발생하는데, 췌장이 여러 장기에 둘러싸여 있다...
2022. 08. 29. 24:00
경희대병원, 간담도췌장외과 박민수 교수 국제심포지엄 최우수구연상 수상
경희대병원 간담도췌장외과 박민수 교수가 8일 부터 이틀간 개최된 대한탈장학회 국제심포지엄에서 최우수구연상을 수상했다. 수상한 연구 주제는 ‘국소 마취로 시행된 복강경 복막 외 접근 탈장 교정술 의 유용성’으로 전신...
2022. 07. 13. 24:00
이전
1
2
3
4
5
다음
인기뉴스
강북삼성병원 박철영 교수, 대한비만학회 ‘문석학술상’ 수상
한가족요양병원·NKCL바이오그룹, 첨단재생의료 임상·제조 통합 플랫폼 구축 착수
(주)포스텍, AI rPPG 기반 '비접촉 건강측정 키오스크' 상용화… "중대재해 사각지대 없앤다“
고려대학교 안암병원 김창곤 교수, 대한혈액학회 국제학술대회 최우수 포스터상 수상
한국산텐제약, 신임 대표이사에 김진희 대표 선임
많이 본 포토뉴스
강북삼성병원 박철영 교수, 대한비만학회 ‘문석학술상’ 수상
한가족요양병원·NKCL바이오그룹, 첨단재생의료 임상·제조 통합 플랫폼 구축 착수
(주)포스텍, AI rPPG 기반 '비접촉 건강측정 키오스크' 상용화… "중대재해 사각지대 없앤다“
고려대학교 안암병원 김창곤 교수, 대한혈액학회 국제학술대회 최우수 포스터상 수상
최신뉴스
14조 K뷰티 열풍의 이면… '무결점 피부' 집착의 경고
매일 먹던 '선식·과일청'의 배신… 췌장 망가진다
"보약보다 낫다" 밥 대신 잠 택한 강남 수면 카페 열풍
구로병원 개방형실험실, 운영위원 및 PM 위촉식 개최
SCL그룹 이경률 회장, 몽골 과학아카데미 ‘명예박사’ 수여
관상동맥 중재시술 국제학술회의(TCTAP 2026) 개최
JW중외제약, 中 간앤리와 ‘2주 1회’ GLP-1 비만신약 라이선스-인 계약
세계 자폐인의 날 맞이 인식개선 캠페인 전개
‘동국제약과 함께 다리건강 동행캠페인’, 2026 상반기 참가자 모집
한국산텐제약, 황반변성 치료제 ‘비오뷰’ 국내 출시 5주년 심포지엄 개최
AI 기반 고객상담 '나이스-콜' 및 업무비서 ‘나이스-메이트' 본격 도입
언어 선택
ENGLISH
English (US)
ASIAN
ไทย
한국어
Tiếng Việt
Bahasa Indonesia
हिन्दी (भारत)
中文 (简体, 中国大陆)
EUROPEAN
Español (España)
Français (France)
MIDDLE_EAST_AFRICA
العربية (السعودية)